Neglected tropical diseases

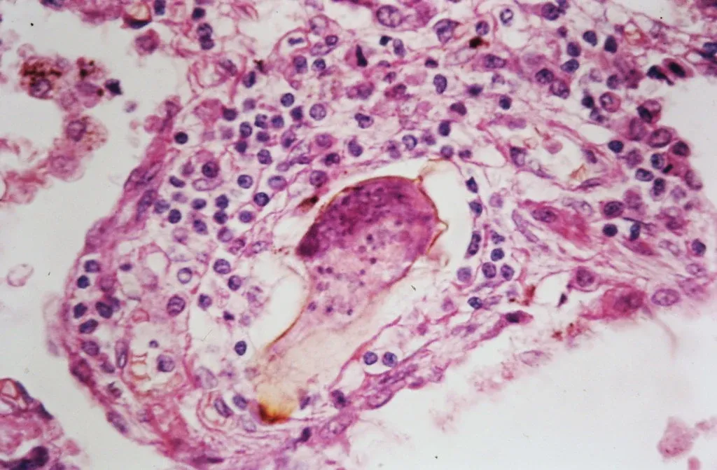
Schistosoma ovum in the lung parenchyma surrounded by a chronic inflammatory cellular infiltrate.
Photo: Philip Kane
  • Randomized clinical trial to determine the efficacy and safety of Praziquantel combined with Dihydroartemisinin-Piperaquine versus Praziquantel alone for the treatment of schistosomiasis in Tanzania.
11-06-2024