Translational Breast Cancer Research: Long-Term Risk and Endocrine Treatment Benefit – Linda Lindström's Group

We conduct interdisciplinary research on breast cancer, with a particular interest in long-term risk, intra-tumor heterogeneity and the heterogeneous tumor microenvironment. A unique feature of estrogen receptor-positive (ER+) breast cancer is the long-term risk of metastatic disease, sometimes occurring decades after initial diagnosis. Our research is therefore focused on elucidating the mechanisms behind this prolonged risk and the benefit from endocrine treatment in a long-term perspective.

Our research

Breast cancer is the most common female cancer in the Western world, comprising almost a third of all cancer cases, and one of the main causes of death in women. It is a diverse disease both considering tumor aggressiveness and time to metastatic disease, which varies from months to several decades after primary diagnosis. In clinical practice a set of breast cancer tumor characteristics (markers) are used to predict prognosis and the benefit from treatment. Among newly diagnosed patients, approximately 70-80% have estrogen receptor (ER)-positive breast cancer and are candidates for anti-hormonal (endocrine) treatment. However, approximately 50% of patients with ER-positive disease do not benefit from endocrine therapy, and approximately one out of four women with breast cancer will die from the disease. It has been shown by us (Esserman and Lindström, JAMA Oncology 2017; Lindström et al, JNCI 2018; Yu and Lindström, JAMA Oncology 2019), and others (Pan et al, NEJM 2018), that patients with ER-positive disease have a limited early but a long-term risk for fatal breast cancer that continues steadily throughout 5 to 25 years after primary diagnosis. However, the biological factors influencing this long-term risk in patients with ER-positive disease are not well understood.

We (Lindström and Bergh et al, JCO 2012) and others have shown that the clinically used breast cancer markers alter their expression throughout tumor progression, and that this influences patient survival. Notably, patients that are primarily ER-positive but loose ER-expression at metastasis have worse survival as compared to patients with stable ER-positive tumor expression. These findings changed clinical management, emphasizing the need for re-examination of tumor characteristics at relapse to improve patient management, and have led to recommendations from ASCO, ESMO, and the Swedish Breast Cancer Group (SweBCG), among others.

What are the likely explanations to our findings? It has been proposed that primary breast tumors may possess intra-tumor heterogeneity with varying metastatic capacity, and that tumors with greater intra-tumor heterogeneity adapt faster as compared to homogeneous tumors. Thus, given that ER-positive breast cancer is associated with a continuous risk of fatal disease, one may hypothesize that having tumor cells with varying characteristics, in contrast to more homogeneous characteristics, may be beneficial for tumor progression and influence patient survival. Indeed, it has been suggested by us (Lindström et al, JNCI 2018) and others that intra-tumor heterogeneity may influence tumor aggressiveness in a variety of cancers. However, it is unknown which tumor characteristics may be clinically important to assess for intra-tumor heterogeneity, for which patient groups (i.e. premenopausal/ postmenopausal patients, or low/ high risk), and whether benefit of treatment is influenced by intra-tumor heterogeneity of certain tumor characteristics.

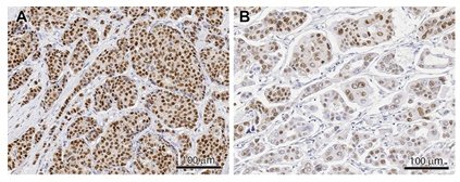
ER staining in two representative patient tumors according to intra-tumor heterogeneity of ER. A) Low intra-tumor heterogeneity of ER. B) High intra-tumor heterogeneity of ER.

An example of high and low intra-tumor heterogeneity in two representative patient breast cancer tumors is seen in Figure 1. Figure 1A shows a tumor with strong and homogenous intensity of ER expression (tumor cells have an expression intensity of +2 or +3) i.e. low intra-tumor heterogeneity, whereas in Figure 1B the intensity of tumor cell expression is strong (+3) in a proportion of cells, weaker in other cells (+1, +2), and some cells have no expression of ER (0), i.e. high intra-tumor heterogeneity.

Our long-term goal is to improve the prediction of patients’ risk to die from breast cancer - for aggressive potentially lifesaving treatment in patients with high risk, and to avoid unnecessary side effects in patients with lower risk disease. Risk of fatal breast cancer is of great concern to patients and their families thus better risk prediction would also result in less anxiety.

Main research questions:

  • Does intra-tumor heterogeneity influence patient survival and/ or treatment benefit?
  • Long-term risk: Which factors are important for the long-term risk of fatal breast cancer disease?
  • Endocrine treatment: Identify tumor characteristics and genes expressed that influence the benefit. 
  • Why do young women diagnosed with breast cancer have poor prognosis?
  • Is breast cancer survival inherited?
  • Benign breast diseases: Risk by age and hormonal factors, and risk of invasive breast cancer.

Publications

Selected publications

Staff and contact

Group leader

All members of the group

Teams