
FENO Histological Core Facility
The FENO Histological Core Facility is a competence and service facility for mouse histology, pathology and specializes in the pathology of genetically engineered mice.
Menu for this area
Photo: N/AOur instruments
The unit has its own histological laboratory with advanced instruments for automatic multiplex immunohistochemistry, RNA in situ hybridization, and slide-scanner. Samples are registered individually using barcode to facilitate sample identification, data documentation, and digital scanning of sections. Imaging data is documented and digitalized using light, polarized and fluorescence slide scanner or multispectral fluorescence microscopy, followed by image analysis using different programs.
Photo: N/APortal South, PIF and FENO - connected to the animal facility PKL
The Preclinical Imaging Core Facility (PIF), the FENO Histological Core Facility and Portal South are all core facilities that offer services connected to the animal facility Preclinical Laboratory (PKL) at Campus Flemingsberg. The close collaboration between the core facilities makes transfer between facilities seamless.
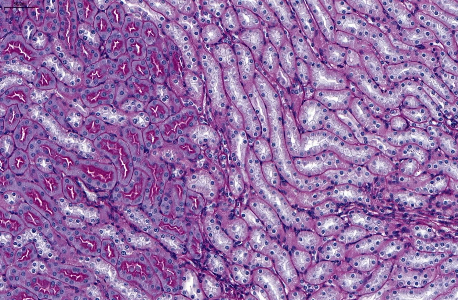
Photo: Tarja SchröderFENO image gallery
Collection of Images of stainings processed at the FENO Histological Core Facility.
Photo: N/AFacts about FENO
Location: ANA Futura, floor 7, elevator B, Alfred Nobels Allé 8, Campus Flemingsberg, Karolinska Institutet
Head of FENO: Moustapha Hassan
Key words: necropsy, histopathology, microtome, cryotome, histological staining, immunohistochemistry, slides scanner, polarization
Photo: Lasse Skog