Histocore gallery

Please enjoy a collection of images of tissues processed at the Histocore Core Facility.

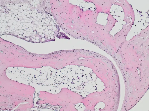
mouse bone, 20x magnification.
Image gallery
+ 9 images
Images of tissues processed at the Histocore Core Facility.
Content reviewer:
19-03-2025