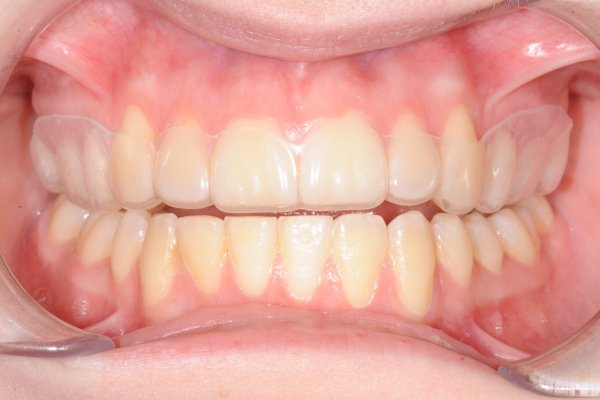
Keep your teeth in place
Remember that your treatment is not complete once the braces have been removed. In order to keep your teeth in their new position, they need to be stabilised. Stabilisation is done by either using an essix splint at night or by using a glued-on metal wire.
We call this "retention". Retention is important because the teeth want to return to their original position. If you end retention too early, your bite may look like you never had braces after a few years. Therefore, you should follow this advice.
Essix splint

The Essix splint is removable. Unless otherwise instructed, the Essix splint is used every night for the first year. Thereafter, the use is reduced by using the Essix splint every other night for six months, followed by further reduction. Two years after the braces have been removed, you use the Essix splint 1-2 nights a week. If you want your teeth to remain in the position they are in after treatment, you need to use the essix splint 1-2 nights a week as long-term retention.

The Essix rail is cleaned with a toothbrush and lukewarm water. It is delivered in a box which also needs to be cleaned occasionally. It is important to keep the splint in the box when not in use and out of reach of any pets. If the splint is lost, you will be responsible for the cost of a new splint.
Take the rail with you at every inspection!
Extra cleaning if necessary
Deposits on the splint can be removed by placing it in a glass of water with 2 tablespoons of vinegar (or a Coregate tablet), leave it for about 1 hour, then clean it as usual with a brush and lukewarm water.
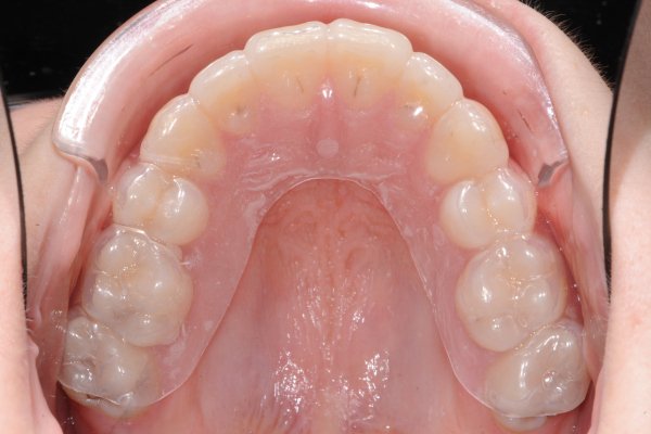
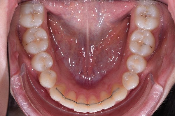
Bonded wire

The wire is glued to the back of your front teeth. The floss is a long-term retention that is meant to stay in place indefinitely. It is therefore important to brush and clean carefully around the wire. If it becomes completely or partially loose, you should contact us as soon as possible. Otherwise, there is a risk that individual teeth may move and a new treatment cannot be offered free of charge.
If you have problems with a splint or wire, you should contact us as soon as possible.
