I äggstockarna finns äggstocksfolliklar som innehåller omogna äggceller. Under en kvinnas livstid kommer en andel av dessa att växa och mogna för ägglossning, vilket möjliggörs graviditet och reproduktiv hälsa. Om kemikalier påverkar de omogna äggen kan konsekvensen bli nedsatt fertilitet.
Vår forskning är uppdelad i olika ämnesområden:
- vi använder populationsstudier för att utröna samband mellan miljöexponeringar och fertilitet hos kvinnor,
- vi studerar hur vissa medicinska behandlingar, som kemoterapi, påverkar äggstockarna hos flickor och unga kvinnor,
- vi analyserar äggstockarnas cellulära sammansättning och funktion genom kvinnans liv, från födsel till klimakteriet,
- vi testar hur kemikalier påverkar äggstockarna genom exponeringsstudier på vävnads- och cellodling, samt
- vi utvecklar in vitro-modeller som efterliknar äggstockar för att kunna testa kemikaliers och läkemedels toxicitet.
Vårt mål är att identifiera kopplingar mellan kemikalier och fertilitet hos kvinnor. Vi har uppmätt koncentrationer av ca 50 olika miljökemikalier i serumprover som samlats in från gravida kvinnor och kvinnor som genomgår fertilitetsbehandling. Våra statistiska analyser har visat att högre nivåer av flera kemikalier är relaterade till längre ”time-to-pregnancy”, dvs. den tid det tar att bli gravid från att man börjar försöka. Vidare har vi identifierat samband mellan exponering och antalet omogna ägg som kvinnan har kvar i äggstockarna, och ett antal andra markörer av äggstockshälsa.
Utvalda publiceringar
”Ambient black carbon particles in human ovarian tissue and follicular fluid.” Bongaerts E, et al. 2023 Environ Int.
”Associations between lifestyle factors and levels of per- and polyfluoroalkyl substances (PFASs), phthalates and parabens in follicular fluid in women undergoing fertility treatment.” Hallberg I, et al. 2023 J Expo Sci Environ Epidemiol.
”Association between chemical mixtures and female fertility in women undergoing assisted reproduction in Sweden and Estonia.” Bellavia A, et al. 2023 Environ Res.
“Follicular fluid and blood levels of persistent organic pollutants and reproductive outcomes among women undergoing assisted reproductive technologies" Björvang et al. 2021 Environ Res
“Persistent organic pollutants and the size of ovarian reserve in reproductive-aged women” Björvang et al. 2021 Environ Int
“Persistent organic pollutants, pre-pregnancy used of combined oral contraceptives, age and time-to-pregnancy in the SELMA cohort” Björvang et al. accepted for publication in Environ Health
Vissa medicinska behandlingar, som kemoterapi, kan rädda livet men samtidigt skada äggstockarna och fertiliteten. För att möjliggöra framtida möjligheter att bli med barn kan äggceller eller äggstocksvävnad frysas innan behandlingen påbörjas. För barn, som inte ännu gått igenom puberteten, är nedfrysning av äggstocksvävnad det enda alternativet. Metoden är välbeprövat för vuxna kvinnor, men mindre studerat hos barn. Vi har initierat en nationell studie, Sveafertil, där flickor och unga kvinnor med mycket hög risk för infertilitet till följd av sina behandlingar kan frysa ned en del av äggstocken och donera en liten del för vår forskning. Vårt mål är att jämföra äggstocksvävnad från barn med vuxen vävnad i detalj samt identifiera molekyler och celler som påverkas av kemoterapi och med denna kunskap förfina metoderna för de yngsta patienterna. Läs mer om projektet på Sveafertil: Påverkan av medicinska behandlingar på äggstocken projektsida.
Utvalda publiceringar
Reference standards for follicular density in ovarian cortex from birth to sexual maturity.
Hassan J, Knuus K, Lahtinen A, Rooda I, Otala M, Tuuri T, Gidlöf S, Edlund E, Menezes J, Malmros J, Byström P, Sundin M, Langenskiöld C, Vogt H, Frisk P, Petersen C, Damdimopoulou P, Jahnukainen K
Reprod Biomed Online 2023 Oct;47(4):103287
Fertility Preservation for Prepubertal Patients at Risk of Infertility: Present Status and Future Perspectives.
Pampanini V, Hassan J, Oliver E, Stukenborg JB, Damdimopoulou P, Jahnukainen K
Horm Res Paediatr 2020 ;93(11-12):599-608
Impact of first-line cancer treatment on the follicle quality in cryopreserved ovarian samples from girls and young women.
Pampanini V, Wagner M, Asadi-Azarbaijani B, Oskam IC, Sheikhi M, Sjödin MOD, Lindberg J, Hovatta O, Sahlin L, Björvang RD, Otala M, Damdimopoulou P, Jahnukainen K
Hum Reprod 2019 Sep;34(9):1674-1685
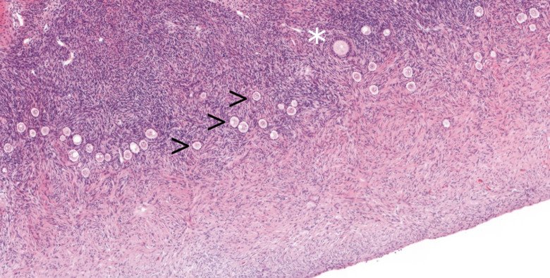
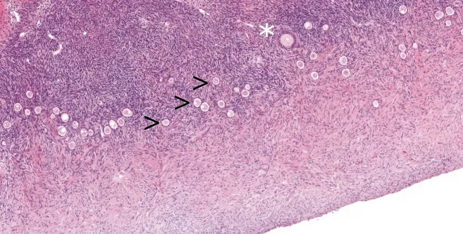
För att kunna studera hur miljöexponeringar och medicinska behandlingar påverkar äggstocken måste vi förstå dess funktion på en cellulär och molekylär nivå. Ett av våra forskningsmål är därför att identifiera olika celltyper inom äggstocken och studera hur dessa förändras genom livet. Äggstocken genomgår förändringar, t ex under puberteten, men påverkan på de minsta folliklarna, som innehåller omogna ägg, är inte väl undersökt. Vi analyserar äggstocksprover från flickor, unga tjejer och vuxna kvinnor för att skapa en omfattande bild av äggstockens utveckling och funktion från barndom, genom puberteten, till vuxen ålder.
Denna detaljerade information kommer att ge oss bättre förutsättningar att kartlägga miljöpåverkan på äggstocken, utveckla bättre testmetoder för reproduktiv toxicitet, samt förstå de faktorer som bidrar till infertilitet.
Utvalda publiceringar
”Transcriptomics and Spatial Proteomics for Discovery and Validation of Missing Proteins in the Human Ovary.” Méar L, et al. 2024 J Proteome Res.
"Spatial Proteomics for Further Exploration of Missing Proteins: A Case Study of the Ovary” Mear et al. 2022 J Proteome Res
”Single-cell Analysis of Human Ovarian Cortex Identifies Distinct Cell Populations but No Oogonial Stem Cells” Wagner et al. 2020 Nat Commun
ONLINE RESURS E-ovary (eovary.ki.se
För att kunna avgöra om miljöexponeringar direkt påverkar äggstocken, genomför vi kontrollerade exponeringsexperiment i laboratoriet. Vi exponerar äggstocksvävnad och celler i odling för kemikalier som vi har identifierat i våra populationsstudier om kemikalier och kvinnlig fertilitet. Vi undersöker om de exponerade folliklarna växer normalt och vilka gener som påverkas. Våra resultat visar hur och genom vilka molekylära mekanismer äggstocksfunktion kan påverkas av miljöfaktorer. Denna information kan användas för att bättre förstå samband mellan exponering och nedsatt fertilitet hos kvinnor, samt för att utveckla tester för att utvärdera kemikaliers reproduktiva toxicitet.
Utvalda publiceringar
”Identification of phthalate mixture exposure targets in the human and mouse ovary in vitro.” Tarvainen I, et al. 2023 Reprod Toxicol.
”Identification of biomarkers and outcomes of endocrine disruption in human ovarian cortex using In Vitro Models.” Li T, et al. 2023 Toxicology.
“AOP key event relationship report: Linking decreased androgen receptor activation with decreased granulosa cell proliferation of gonadotropin-independent follicles” Panagiotou et al. 2022 Reprod Tox
”Putative adverse outcome pathways for female reproductive disorders to improve testing and regulation of chemicals.” Johansson et al. 2020 Arch Toxicol
Vi använder äggstocksvävnad för att utveckla in vitro-modeller som efterliknar äggstocken eller kan härma dess olika funktioner. Sådana modeller är nödvändiga för att på ett humanrelevant sätt bedöma toxiciteten hos kemikalier i laboratoriet, utan användning av försöksdjur. Dessutom kan modeller som efterliknar äggstockar i framtiden användas för att mogna äggceller in vitro.
Utvalda publiceringar
“Culture of human ovarian tissue in xeno-free conditions using laminin components of the human ovarian extracellular matrix” Hao et al. 2020 J Assist Reprod Genet
Ytterligare information
Våra studier om äggstockens funktion är inspirerade av Professor Emerita Outi Hovatta och hennes långa karriär samt banbrytande forskning inom äggstocksbiologi.
De studier vi genomför på human äggstocksvävnad är möjliga tack vare patienter som genomgår olika operationer på Karolinska Universitetssjukhuset och väljer att delta i vår forskning. Utan dessa deltagare och våra kliniska samarbetare skulle forskningen vara omöjlig att bedriva. Vi vill uttrycka våra varma tack till alla patienter, barnmorskor och läkare som möjliggör vår forskning!
Alla våra studier är godkända av Etikprövningsmyndigheten, och vävnad samlas endast in från patienter som har fått information om våra studier och givit sitt samtycke.
Vi är stolta över att vara del av flera omfattande samarbeten inom Europa som finansieras av EU. Här kan du läsa om MERLON (2024-2028), FREIA (2019-2024) and ERIN (2020-2023).
MERLON
Hemsida: under konstruktion
”Enhanced identification of endocrine disruptors through integration of science-based regulatory practices and innovative methodologies: The MERLON Project” Svingen et al. 2024 Open Research Europé
FREIA
”Safeguarding Female Reproductive Health Against Endocrine Disrupting Chemicals-The FREIA Project” van Duursen et al. 2020 Int J Mol Sci







