Frågor om reumatism
Karolinska Institutets populärvetenskapliga tidning, Medicinsk Vetenskap, publicerar i varje nummer ett antal läsarfrågor och svar från våra forskare inom olika områden. På den här sidan hittar du frågor och svar om reumatiska sjukdomar.

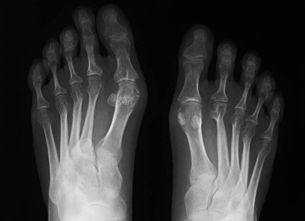
Hur behandlas artros?
Varför uppstår artros? Vad finns för terapier förutom smärtstillande och nya leder? / Yvonne Lindström
Svar: Det är inte helt klarlagt varför artros uppstår, och det finns sannolikt olika orsaker till småleds- respektive storledsartros. Sjukdomen är delvis en del av det normala åldrandet, men den kan förvärras tidigare genom trauma på leden och överbelastning. Den artrotiska leden karaktäriseras av nedbrytning av glidytan i leden, minskad ledspringa, förtätning av den underliggande benplattan och nybildning av ben i ledkanterna. De viktigaste åtgärderna för att minska besvär är fysisk aktivitet, särskilt träning av den drabbade ledens omgivande muskulatur, och viktnedgång. Som komplement används ibland smärtstillande läkemedel, oftast paracetamol. Forskningen kring artrosmekanismer har gått framåt senaste åren, och kliniska prövningar pågår av flera nyare läkemedel, som specifikt blockerar vävnadsnedbrytande ämnen. Vissa patienter har svårare smärta och smärta i vila, vilket tillsammans med gravt förstörd led kan vara indikation för operation med knä- eller höftplastik. Glukosamin, som många patienter tar mot artros, har i studier tyvärr inte visat bättre symtomatisk effekt än sockerpiller och rekommenderas därför inte av Socialstyrelsen.
/ Jon Lampa, forskare i reumatologi
Bra mat vid reumatism?
Vid ledgångsreumatism försöker man dämpa ett överaktivt immunförsvar med medicin. Bör man som reumatiker därför undvika att äta sådant som sägs ”vara bra för immunförsvaret”? /Anita Wilhelmsson
Svar: Nej, glädjande nog är immunförsvaret mer finurligt än så. Vid ledgångsreumatism är endast vissa delar av immunförsvaret överaktiva, och de mediciner som används blir allt mer riktade mot just de molekyler som har central roll vid uppkomsten av ledinflammationen. Många av de födoämnen som beskrivs som bra för immunförsvaret finns i grönsaker och fet fisk, mat som är rik på vitaminer, antioxidanter och fleromättat fett. En medelhavskost innehåller rikligt med dessa och har hos patienter visat sig kunna minska ledsymtom. Samma gäller för fet fisk i sig, och vegankost som verkar passa vissa individer. Intag av fet fisk varje vecka har även kopplats till lägre risk att insjukna i ledgångsreumatism. Mekanismerna som ligger bakom detta är dock inte helt klara, men till exempel har fleromättat fett antiinflammatoriska egenskaper och D-vitamin har flera immunologiska effekter. Studier har visat att de som följde dessa kostråd gick ner i vikt, och nya data tyder på att överviktiga patienter med ledgångsreumatism har högre sjukdomsaktivitet på sikt. Det är alltså minst lika viktigt för patienter med ledgångsreumatism som befolkningen i övrigt att äta rikligt med grönsaker och fisk och vara normalviktig, men vad gäller viktnedgång bör påpekas att undernäring och låg muskelmassa är ogynnsam, och träning är viktig för alla.
/ Saedis Saevarsdottir, läkare och forskare i reumatologi
Hur hänger sköldkörtelsjukdom och reumatism ihop?
Många med reumatisk sjukdom har en hypotyreos i grunden. Vilken roll spelar hypotyreosbehandlingen för utbrott av reumatiska sjukdomar? / Anki
Svar: Såväl hypotyreos och hypertyreos (under- respektive överfunktion av sköldkörteln) som reumatism orsakas i de flesta fallen av autoimmun sjukdom, där det egna immunförsvaret av misstag angriper kroppen. Dessa sjukdomar är till stor del ärftliga och kan utlösas av negativ påverkan på immunsystemet, till exempel svår stress. Man har identifierat flera immunreglerande gener som har betydelse för uppkomsten av autoimmun sköldkörtelsjukdom, men även för ledgångsreumatism. Studier från England visar att risken är större hos personer med autoimmun sköldkörtelsjukdom (samt deras föräldrar) att få andra autoimmuna sjukdomar, bland annat ledgångsreumatism, SLE, celiaki, Sjögrens syndrom och vitiligo, än hos normalbefolkningen. Tiden är en joker i spelet. Ju längre man lever ju större är risken att utveckla annan autoimmunitet. Ingenting tyder på att behandlingen som sådan av hypo- eller hypertyreos skulle öka eller minska risken för utbrott av reumatisk sjukdom.
/ Ove Törring, överläkare och docent i endokrinologi
Fördjupning
Foto: N/ANär kroppen angriper sig själv
Vid en rad sjukdomar går det egna immunsystemet till attack mot kroppens egen vävnad. Men varför gör kroppen så? Läs ett tema om autoimmunitet från tidningen Medicinsk Vetenskap
