Forskning Translationell vaskulär medicin
Teamet tillämpar integrativa analyser som kombinerar bioinformatiska och kliniska datastudier med murina modeller av vaskulär skada och sjukdom, medan in vitro-system baserade på primära celler och vävnadsexplanteringar används för funktionella och mekanistiska undersökningar.
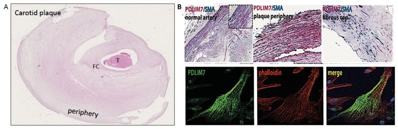
Nya mekanismer för aterosklerotisk plack (in)stabilitet som styrs av glatta muskelceller
Translationell vaskulär medicin ledd av Ljubica Matic är ett translationellt team bestående av grundforskare med expertis inom molekylärbiologi och farmakologi och kliniskt aktiva läkare. Teamet tillämpar integrativa analyser som kombinerar bioinformatiska och kliniska datastudier med djurmodeller av vaskulär skada och sjukdom, medan in vitro -system baserade på primära celler och vävnadsexplantat används för funktionella och mekanistiska undersökningar.
Kärlsjukdomar innefattar tillstånd som ateroskleros, aortaaneurysm och restenos efter kirurgiska ingrepp, vilket bidrar till den höga totala kardiovaskulära dödligheten. Patologiska kärlförändringar kännetecknas vanligtvis av inflammatoriska, apoptotiska och remodelleringsprocesser som involverar lipider, immun- och glattmuskelceller (SMC). Med tanke på SMC:s förmåga att tillhandahålla vävnadsintegritet, antar vi att förståelse för mekanismer som reglerar deras funktion kan ge nya strategier för att förhindra kärlkomplikationer. Därför fokuserar vi på nya molekylära mekanismer för kärlsjukdomar som är särskilt relaterade till SMCs, liksom på biomarkörer och terapeutiska tillvägagångssätt vid åderförkalkning. (Fig 1).

Vårt yttersta mål är att utveckla nya mål för stabilisering av behandlingar eller diagnostiska avbildningsmetoder som syftar till att tidigt upptäcka sårbara aterosklerotiska plack och patienter. Vår satsning på translationell forskning inom detta område, liksom långsiktiga samarbeten med många grupper över hela världen (Stanford, Maastricht University, King's College, Ottawa Heart Institute, München Technical University, etc.) har redan visat hur en kombination av klinisk och experimentell forskning har den verkliga potentialen att främja kunskapen om kärlsjukdomar och förbättra patienthanteringen.
